前言
小细胞肺癌(SCLC)约占肺癌的15%,约2/3患者在确诊时已处于广泛期(ES-SCLC),预后极差[1]。近年来,免疫检查点抑制剂联合化疗已成为ES-SCLC的一线标准治疗[2]。尽管初始缓解率较高,多数患者仍出现局部复发。胸部巩固放疗(TRT)在ES-SCLC中的地位逐渐受到重视,尤其对于系统治疗有效的患者,TRT可提高局部控制率,进而延长患者的生存[3]。放疗能够促进抗原释放及免疫微环境调节,联合免疫治疗具有协同作用[4]。目前TRT与免疫治疗联用的最佳时机、剂量模式及在老年人群中的应用仍有待探索。本文报道一例77岁ES-SCLC患者经化疗-免疫治疗后序贯TRT并获得良好疗效的病例,为临床个体化治疗提供参考。
1、 病例资料
患者女性,77岁。因“确诊肺癌9月余,6周期化疗联合免疫治疗后25天”入院。患者于2024年10月因"反复咳嗽、咳痰"于枣庄市立医院就诊,行支气管镜检查,2024年10月12日病理提示:(左下叶)小细胞癌。经对症支持治疗后出院,出院后在外院接受中医药治疗。2025年2月,患者因咳嗽、咳痰加重就诊于我院。复查胸部增强CT示:左肺肿块较前增大,伴左肺下叶阻塞性肺不张、左侧胸腔积液,评价为疾病进展(PD)。于2025年2月18日至2025年7月3日期间,共接受6周期化疗联合免疫治疗(依托泊苷100mg d1-3 + 奈达铂70mg d1 + 特瑞普利单抗240mg d4,q3w)。期间疗效评价为部分缓解(PR)。现为求下一步治疗,于2025年7月28日入院。
既往有“甲亢”史6月余,规律服用甲巯咪唑;“白内障”手术史。
查体:PS 1分。左肺呼吸音粗,可闻及干湿性啰音。
辅助检查(2025-07-29):颅脑MR未见转移。胸部CT示:左肺肿块、左下叶肺不张及左侧胸腔积液较前次检查(2025-5-29)大致相仿。
初步诊断: 1. 左肺小细胞癌(广泛期);2. 左侧胸腔积液;3. 纵隔淋巴结继发恶性肿瘤;4. 左肺不张;5. 阻塞性肺炎;6. 甲状腺功能亢进史;7. 白内障术后。
2、 疑难病例讨论与治疗决策
患者高龄,小细胞肺癌,广泛期,已完成6周期化疗及免疫治疗,胸部CT显示病灶仍有残留。针对患者下一步治疗,组织胸外科、肿瘤内科、放疗科进行疑难病例讨论。
胸外科: 患者ES-SCLC,伴有左侧胸腔积液、纵隔淋巴结转移和左肺不张。患者年龄较大(77岁),体质一般,且已接受6周期化疗联合免疫治疗,目前疗效为PR(部分缓解),但肿瘤仍存在。该患者无手术指征,如将来出现气道梗阻、大咯血或局部并发症,可考虑姑息性手术,目前无需外科干预。
肿瘤内科: 患者已完成6周期EP方案联合特瑞普利单抗治疗,疗效PR,目前无显著不良反应。可继续使用特瑞普利单抗维持治疗,直至病情进展或不可耐受毒性。若疾病进展,二线可考虑拓扑替康、多西他赛化疗。
放疗科:患者目前处于化疗联合免疫治疗后的缓解期(PR),但仍存在残留病灶。广泛期SCLC化疗有效者仍可从全脑预防性放疗(PCI)中获益。该患者年龄>75岁需谨慎,可考虑MRI密切随访。若患者一般状况良好,可考虑对原发灶和纵隔淋巴结进行巩固放疗,后续继续免疫维持治疗,有助于延长局部控制时间。
MDT综合建议: ① 继续特瑞普利单抗维持治疗;② 对残留原发灶及纵隔淋巴结行巩固性放疗,放疗后继续免疫维持治疗;③ 暂不行PCI,加强脑部影像随访。
经与患者家属充分沟通,为巩固疗效,可以先行胸部巩固放疗,后续继续免疫维持治疗。
3、 放疗实施过程
模拟定位: 患者仰卧位,体膜固定,使用CT机进行扫描,层厚3mm。图像传输至Varian Eclipse15.5治疗计划系统(TPS)。
靶区勾画:大体肿瘤区(GTV):影像学可见的左肺原发肿瘤及纵隔转移淋巴结。临床靶区(CTV):在GTV外放0.5cm(避开解剖屏障),并包括II、IV、V、VII区及左肺门高危淋巴引流区。计划靶区(PTV):在CTV基础上均匀外放0.5cm。
计划设计:采用适形调强放疗(IMRT)技术,使用6MV-X线,设计5个射野(机架角:340°、355°、180°、20°、130°)。处方剂量:PTV 45 Gy/30次,1.5 Gy/次。计划满足临床要求:≥95% PTV接受100%处方剂量。危及器官受量:脊髓最大剂量<37.5 Gy,双肺V20<18.5%,双肺平均剂量<9.0 Gy。
计划验证与执行: 使用美国Varian Clinac iX直线加速器照射,计划通过IBA MyQA系统进行剂量验证,γ通过率(3mm/3%)达100%。每日治疗前行锥形束CT(CBCT)扫描纠正摆位误差,确保误差小于5mm。
4、 治疗过程与疗效评价
患者于2025年8月1日开始放疗,2次/日,1.5Gy/次,两次照射间隔时间至少6小时,2025年8月24日顺利完成全部30次治疗。放疗期间患者耐受良好,仅出现1级食管炎(轻度吞咽不适)及1级乏力,未发生≥3级急性毒副反应。期间予泮托拉唑、甲泼尼龙琥珀酸钠、维生素及止吐等对症支持治疗。
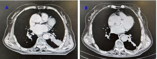
2025年8月25日复查胸部CT示:左肺门肿块及左下叶肺不张范围较前进一步缩小,纵隔淋巴结缩小。疗效评价维持PR,见图1。患者于2025年8月25日顺利出院,2周后继续开始特瑞普利单抗免疫维持治疗,并定期随访。

图1.放疗后图B肿瘤较放疗前图A肿瘤明显缩小
5、 讨论
本例报告展示了一例高龄ES-SCLC患者通过MDT讨论,成功接受化疗-免疫-放疗序贯综合治疗的实践。其核心讨论点在于TRT在免疫治疗时代对老年ES-SCLC患者的价值。
5.1 胸部巩固放疗在免疫治疗时代的价值与依据
目前免疫联合化疗虽已成为ES-SCLC的标准一线方案,但其5年生存率仍低于10%,局部复发率高达50%–80%[5]。TRT可显著改善局部控制,一项Ⅲ期研究显示TRT将中位总生存期从13个月延长至15个月(HR = 0.84, p = 0.041)[6]。本例患者经6周期免疫化疗后达PR,但仍存在残留病灶,符合TRT适应证。我们采用超分割方案(45 Gy/30次),在保证疗效的同时,减少住院时间,尤其适合不愿长期住院的老年患者。
5.2 老年ES-SCLC患者接受TRT的耐受性与技术考量
老年患者放疗需要特别注意耐受性及生活质量。本例虽年龄77岁,但PS评分良好(1分),前期治疗耐受佳,为实施TRT奠定基础。采用IMRT技术实现了高度适形剂量分布,肺V20<20%,平均剂量<10 Gy,显著降低放射性肺炎风险。近年多项研究证实,先进放疗技术可显著降低老年患者毒性反应,有报道IMRT在老年肺癌患者中3级以上肺炎发生率低于5%[7]。
5.3 PCI在高龄患者中的决策权衡
预防性脑照射(PCI)虽可降低脑转移风险,但高龄患者认知功能损伤风险显著增加。一项纳入超过700例ES-SCLC患者的荟萃分析显示,PCI可使脑转移风险降低25%,但≥70岁患者生活质量显著下降[8]。当前对高龄患者的趋势往往回避PCI,选择密切随访策略[9],本例经MDT讨论后选择MRI主动监测,每3个月复查,符合当前主流。
5.4 免疫治疗维持与放疗联合的序贯策略
患者放疗结束后2周继续免疫维持治疗。目前TRT与免疫治疗联合多采用序贯策略,旨在平衡疗效与毒性。回顾性研究显示,同步放免疫并未显著增加3级以上肺炎风险(约10%–15%),但仍需谨慎[10]。本例在放疗期间未发生放射性肺炎,仅出现轻度食管损伤,体现序贯策略的安全性。
6、 结论
本病例表明,对于一般状况良好的老年广泛期小细胞肺癌患者,即使年龄超过75岁,也不应放弃局部巩固治疗的机会。在一线化疗联合免疫治疗获得有效缓解的基础上,对胸部残留病灶进行巩固放疗,是一种安全、有效的治疗策略,有望为患者带来生存获益。放疗与免疫治疗的最佳结合模式(序贯还是同步)、剂量分割方案的选择以及对于老年患者PCI的优化策略,仍需更多前瞻性临床研究予以探索。
参考文献
1.Rudin CM, Brambilla E, Faivre-Finn C, et al. Small-cell lung cancer. Nat Rev Dis Primers. 2021;7(1):3.
2.Paz-Ares L, Chen Y, Reinmuth N, et al. Durvalumab plus platinum–etoposide in first-line treatment of extensive-stage small-cell lung cancer: 4-year results from the CASPIAN study. Ann Oncol. 2023;34(3):229–241.
3. Slotman BJ, van Tinteren H, Praag JO, et al. Radiotherapy for extensive stage small-cell lung cancer—a systematic review and meta-analysis. Clin Lung Cancer. 2022;23(2):109–117.
4.Herrera FG, Ronet C, Ochoa de Olza M, et al. Low-dose radiotherapy reverses tumor immune desertification and resistance to immunotherapy. Cancer Discov. 2022;12(1):108–133.
5. Wang S, Tang J, He Q, et al. Patterns of recurrence and survival after immunotherapy in extensive-stage small-cell lung cancer: a multi-institutional analysis. Lung Cancer. 2023;178:102–109.
6.Jeremic B, Gomez-Caamano A, Dubinsky P, et al. Consolidative thoracic radiotherapy in extensive-stage small cell lung cancer: an updated systematic review and meta-analysis. Radiother Oncol. 2022;166:229–237.
7.Palma DA, Olson R, Harrow S, et al. Stereotactic ablative radiotherapy for comprehensive treatment of oligometastatic tumors: a systematic review and meta-analysis. JAMA Oncol. 2023;9(7):1–10.
8.Takahashi T, Yamanaka T, Seto T, et al. Neurocognitive function and quality of life after prophylactic cranial irradiation in patients with extensive-disease small-cell lung cancer: results from a randomized phase III trial. J Clin Oncol. 2020;38(26):2989–3000.
9.Hendriks LEL, Menis J, Reck M, et al. Evolving treatment approaches in extensive-stage small-cell lung cancer: a consensus statement from the EORTC Lung Cancer Group. Lancet Oncol. 2024;25(1):e11–e19.
10.Welsh JW, Heymach JV, Chen D, et al. Phase I trial of pembrolizumab and concurrent radiation after induction chemotherapy in extensive-stage small cell lung cancer. J Thorac Oncol. 2021;16(2):264–273.
近年越来越多的临床困惑浮现:有的患者刚补完2000 mL就出现颈静脉怒张、...[详细]
2026年,我们对免疫治疗的理解,已经不再停留在“用多久更有效”的初级阶段...[详细]